Man left in excruciating pain after shoving toothbrush into his manhood during s3x
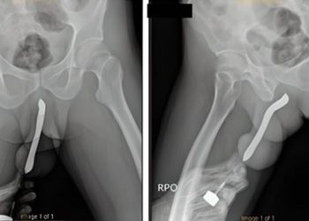
Man left in excruciating pain after shoving toothbrush into his manhood during s3x A man was left in excruciating ...
Man left in excruciating pain after shoving toothbrush into his manhood during s3x A man was left in excruciating ...